Tu salud y tu sonrisa, basada en evidencia científica
En nuestra clínica dental en Getafe, Clínica Esteban Pellicer, contamos con el mejor equipo de profesionales especialistas y docentes universitarios en odontología. Con más de 15 años de experiencia y en constante formación, ofrecemos a nuestros pacientes los tratamientos más avanzados en implantología digital, periodoncia y cirugía plástica periodontal y periimplantaria, ortodoncia invisible, estética dental, endodoncia avanzada y odontopediatría especializada.

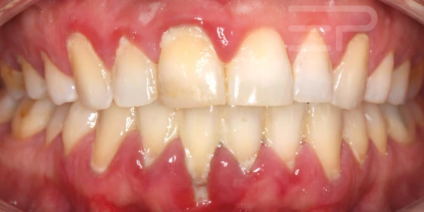
La última evidencia científica alerta sobre cómo las enfermedades periodontales suponen un grave riesgo no sólo a nivel local por la inflamación, pérdida ósea y posible pérdida dentaria, sino a nivel sistémico por su íntima relación con otras enfermedades como diabetes o enfermedades cardiovasculares, entre otras. Nuestro especialista te ayudará a recuperar tu salud y estética periodontal.
La planificación de la reposición de tus piezas perdidas debe realizarse de forma personalizada, teniendo en cuenta varios factores para que el tratamiento sea exitoso. Mediante las últimas herramientas digitales y recomendaciones de la literatura científica, nuestro especialista en implantes te ayudará a recuperar tu salud, función y confianza.


Diseña tu nueva sonrisa de forma digital y totalmente personalizada, donde podrás ver tu nueva sonrisa incluso antes de comenzar tu tratamiento, gracias a nuestros diseños de sonrisa exclusivos. Mejora tu estética, salud y confianza.
Llevaba tiempo queriendo cambiar de dentista y he tenido la suerte de encontrarlos al vivir en el barrio. La primera experiencia ha sido genial, con un trato espectacular por parte del Dr. Esteban y de Cristina. Grandes profesionales y todo muy bien explicado. Recomendable 100%.
La clínica cuenta con un gran equipo de profesionales. He tenido ocasión de ponerme en manos tanto del dentista como de la ortodoncista, y no puedo estar más satisfecha; los resultados han sido efectivos y el seguimiento en todo momento personalizado. A destacar la amabilidad y colaboración del resto del personal de la clínica. Sin duda, un gran descubrimiento por mi parte.
¡Enhorabuena a todo el equipo!, desde la recepción hasta los doctores son geniales. Siempre me han hecho sentir que estoy en muy buenas manos. Muy recomendable.
Excelente trato del Dr. Esteban y de Cristina. La clínica muy bonita y moderna.
Llevo tiempo tratándome y no puedo estar mas satisfecha por los resultados pero sobretodo por su honestidad y profesionalidad, aporta mucha seguridad y no escatima en explicaciones y en buscar soluciones. ¡Muy recomendable!

Gracias a todos nuestros pacientes por hacernos creer cada día más en nuestra forma de trabajar, de forma personalizada y con la última evidencia científica como premisa
¿Tienes dudas o quieres pedir cita?
Estamos aquí para ayudarte. Rellena el formulario y te responderemos lo antes posible.
Clínica dental especializada en tratamientos personalizados y atención de calidad
© Clínica Esteban Pellicer 2024 | Todos los derechos reservados | Kit Digital | Diseñado y desarrollado por Fénix Byte